

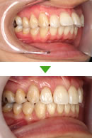
CASE1インビザライン:上顎前突の治療前と2年後の症例をご覧いただけます。
上段:治療前(Before) 下段:治療後(after)

CASE1インビザライン:上顎前突の治療前と2年後の症例をご覧いただけます。
上段:治療前(Before) 下段:治療後(after)
| 治療名称 | マウスピース矯正装置(インビザライン) |
|---|---|
| 治療費用(税抜) | 900,000円 |
| 治療期間 | 3年 |
| 治療内容 (患者の症状/治療方法/治療結果) |
患者の症状:上顎前突。 治療方法:インビザラインにて、上顎左右第1小臼歯を抜歯して行った。 治療結果:インビザラインにて矯正治療を行えた。 |
| 治療を行う上での注意点 (リスク/副作用) |
上顎前歯が出ているので、抜歯を2本行わなければいけない。 しっかり1日20時間以上マウスピースを使用しないと治療期間が延長してしまう。 |

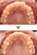
CASE1インビザライン:叢生の治療前と治療後の症例をご覧いただけます。
上段:治療前(Before) 下段:治療後(after)

CASE1インビザライン:叢生の治療前と治療後の症例をご覧いただけます。
上段:治療前(Before) 下段:治療後(after)
| 治療名称 | マウスピース矯正装置 (インビザライン) |
|---|---|
| 治療費用(税抜) | 800,000円 |
| 治療期間 | 約2年 |
| メンテナンス頻度 | 3ヶ月毎 |
| 治療内容 (患者の症状/治療方法/治療結果) |
患者の症状:上下顎共に叢生。 治療方法:マウスピース型矯正装置により、側方拡大・IPRを行い矯正を行う。 治療結果:歯を抜く事なく矯正治療を行えた。 |
| 治療を行う上での注意点 (リスク/副作用) |
歯と歯の間を少し削らなければいけない。 しっかり1日20時間以上マウスピースを使用しないと治療期間が延長してしまう。 |
CASE2インビザライン:叢生の治療前と10ヶ月後の症例をご覧いただけます。
上段:治療前(Before) 下段:治療後(after)

CASE2インビザライン:叢生の治療前と10ヶ月後の症例をご覧いただけます。
上段:治療前(Before) 下段:治療後(after)
| 治療名称 | マウスピース矯正装置 (インビザライン) |
|---|---|
| 治療費用(税抜) | 600,000円 |
| 治療期間 | 10ヶ月 |
| メンテナンス頻度 | 3ヶ月毎 |
| 治療内容 (患者の症状/治療方法/治療結果) |
患者の症状:下顎前歯の叢生。 治療方法:マウスピース型矯正装置にて矯正を行った。 治療結果:治療内容が軽度だったので10ヶ月で患者様の主訴が解決した。 |
| 治療を行う上での注意点 (リスク/副作用) |
下顎前歯は骨が薄い為、保定装置をしっかり使わないと後戻りが起こりやすい。 |

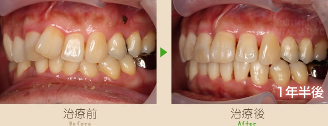
CASE140才男性の治療前と1年半後の症例をご覧いただけます。
上段:治療前(Before) 下段:治療後(after)
![]()

CASE140才男性の治療前と1年半後の症例をご覧いただけます。
上段:治療前(Before) 下段:治療後(after)
![]()
| 治療名称 | マウスピース矯正装置 (インビザライン) |
|---|---|
| 治療費用(税抜) | 700,000円 |
| 治療期間 | 1年半 |
| メンテナンス頻度 | 3ヶ月毎 |
| 治療内容 (患者の症状/治療方法/治療結果) |
患者の症状:上下顎叢生。 治療方法:インビザラインにて、側方拡大・IPRを行い叢生を改善。 治療結果:約1年という期間で叢生が改善された。 |
| 治療を行う上での注意点 (リスク/副作用) |
患者様が40代という事もあり矯正で歯並びが治るか不安を感じていた。 |
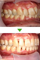
CASE214才女性の治療前と1年後の症例をご覧いただけます。
上段:治療前(Before) 下段:治療後(after)

CASE214才女性の治療前と1年後の症例をご覧いただけます。
上段:治療前(Before) 下段:治療後(after)
| 治療名称 | マウスピース矯正装置 (インビザライン) |
|---|---|
| 治療費用(税抜) | 700,000円 |
| 治療期間 | 1.5年 |
| メンテナンス頻度 | 3ヶ月毎 |
| 治療内容 (患者の症状/治療方法/治療結果) |
患者の症状:上下顎叢生。 治療方法:インビザラインにより、側方拡大・IPRを行い叢生を改善した。 治療結果:約1.5年で叢生が改善された。 |
| 治療を行う上での注意点 (リスク/副作用) |
14歳で思春期という事もありしっかりマウスピース型矯正装置(インビザライン)を使用できるか心配だったが、問題なく使用できた。 |

CASE19才女性の治療前と2年後の症例をご覧いただけます。
上段:治療前(Before) 下段:治療後(after)

CASE19才女性の治療前と2年後の症例をご覧いただけます。
上段:治療前(Before) 下段:治療後(after)
| 治療名称 | バイオネーター |
|---|---|
| 治療費用(税抜) | 300,000円 |
| 治療期間 | 2年 |
| メンテナンス頻度 | 3ヶ月毎 |
| 治療内容 (患者の症状/治療方法/治療結果) |
患者の症状:上顎前突(出っ歯) 治療方法:バイオネーターを用いて下顎の成長を促進させる。 治療結果:2年という治療期間で主訴が改善された。メインテナンスと同時に経過を見ているが後戻りもなく経過している。 |
| 治療を行う上での注意点 (リスク/副作用) |
装置をしっかり使用しないと改善されない。 成長期をこえて治療期間が伸びると改善されない事がある。 |

CASE1治療前と半年後の症例をご覧いただけます。
上段:治療前(Before) 下段:治療後(after)

CASE1治療前と半年後の症例をご覧いただけます。
上段:治療前(Before) 下段:治療後(after)
| 治療名称 | ムーシールド |
|---|---|
| 治療費用(税抜) | 110,000円 |
| 治療期間 | 約6ヶ月 |
| メンテナンス頻度 | 3ヶ月毎 |
| 治療内容 (患者の症状/治療方法/治療結果) |
患者の症状:反対咬合。 治療方法:ムーシールドを用いて反対咬合を改善。 治療結果:6ヶ月という短期間で反対咬合が改善された。 |
| 治療を行う上での注意点 (リスク/副作用) |
5歳という年齢でありしっかり装置が使用できるか心配であったが夜間の使用のみで改善された。 |