
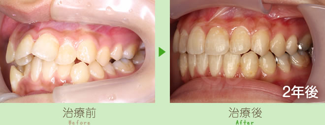
CASE1インビザライン:上顎前突の治療前と2年後の症例をご覧いただけます。

| 治療名称 | マウスピース矯正装置 (インビザライン) |
治療費用(税抜) | 900,000円 | 治療期間 | 3年 |
| メンテナンス頻度 | 3ヶ月毎 | ||||
| 治療内容 (患者の症状/治療方法/治療結果) |
患者の症状:上顎前突。 治療方法:インビザラインにて、上顎左右第1小臼歯を抜歯して行った。 治療結果:インビザラインにて矯正治療を行えた。 |
||||
| 治療を行う上での注意点 (リスク/副作用) |
上顎前歯が出ているので、抜歯を2本行わなければいけない。 しっかり1日20時間以上マウスピースを使用しないと治療期間が延長してしまう。 |
||||

CASE1インビザライン:叢生の治療前と治療後の症例をご覧いただけます。

| 治療名称 | マウスピース矯正装置 (インビザライン) |
治療費用(税抜) | 800,000円 | 治療期間 | 約2年 |
| メンテナンス頻度 | 3ヶ月毎 | ||||
| 治療内容 (患者の症状/治療方法/治療結果) |
患者の症状:上下顎共に叢生。 治療方法:マウスピース型矯正装置により、側方拡大・IPRを行い矯正を行う。 治療結果:歯を抜く事なく矯正治療を行えた。 |
||||
| 治療を行う上での注意点 (リスク/副作用) |
歯と歯の間を少し削らなければいけない。 しっかり1日20時間以上マウスピースを使用しないと治療期間が延長してしまう。 |
||||
CASE2インビザライン:叢生の治療前と10ヶ月後の症例をご覧いただけます。

| 治療名称 | マウスピース矯正装置 (インビザライン) |
治療費用(税抜) | 600,000円 | 治療期間 | 10ヶ月 |
| メンテナンス頻度 | 3ヶ月毎 | ||||
| 治療内容 (患者の症状/治療方法/治療結果) |
患者の症状:下顎前歯の叢生。 治療方法:マウスピース型矯正装置にて矯正を行った。 治療結果:治療内容が経度だったので10ヶ月で患者様の主訴が解決した。 |
||||
| 治療を行う上での注意点 (リスク/副作用) |
下顎前歯は骨が薄い為、保定装置をしっかり使わないと後戻りが起こりやすい。 | ||||

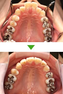
CASE140才男性の治療前と1年半後の症例をご覧いただけます。
![]()

| 治療名称 | マウスピース矯正装置 (インビザライン) |
治療費用(税抜) | 700,000円 | 治療期間 | 1年半 |
| メンテナンス頻度 | 3ヶ月毎 | ||||
| 治療内容 (患者の症状/治療方法/治療結果) |
患者の症状:上下顎叢生。 治療方法:インビザラインにて、側方拡大・IPRを行い叢生を改善。 治療結果:約1年という期間で叢生が改善された。 |
||||
| 治療を行う上での注意点 (リスク/副作用) |
患者様が40代という事もあり矯正で歯並びが治るか不安を感じていた。 | ||||
CASE214才女性の治療前と1年後の症例をご覧いただけます。

| 治療名称 | マウスピース矯正装置 (インビザライン) |
治療費用(税抜) | 700,000円 | 治療期間 | 1.5年 |
| メンテナンス頻度 | 3ヶ月毎 | ||||
| 治療内容 (患者の症状/治療方法/治療結果) |
患者の症状:上下顎叢生。 治療方法:インビザラインにより、側方拡大・IPRを行い叢生を改善した。 治療結果:約1.5年で叢生が改善された。 |
||||
| 治療を行う上での注意点 (リスク/副作用) |
14歳で思春期という事もありしっかりマウスピース型矯正装置(インビザライン)を使用できるか心配だったが、問題なく使用できた。 | ||||