

上下の歯が顎や歯の大きさや形・生え方によって、適切に噛み合わず、見た目の歯ならびが悪い状態を「不正咬合」といいます。


歯列矯正は、ただ歯を美しく整えるだけでなく、人前で喋ったり、ご飯を食べる時も気にならなくなったりして自分に自信が持つことができ、歯並びによって起こる様々な体の不調を改善する事もできます。


「歯列矯正したい」と思っていても、「矯正装置が恥ずかしい」「痛いのは嫌」「面倒くさい」と思って、なかなか踏み切れない方もいらっしゃると思います。
当院では、このような方でも矯正治療がしやすい「目立たず」「取り外しができ」「痛みの少ない」マウスピース矯正を行っております。


ワイヤーやブラケットなど一切使わず、マウスピース型の矯正装置を歯に装着することで、矯正を行う方法です。
当院では世界45ヶ国以上の国々で提供され、これまでに250万人以上の患者様が治療を受けているインビザラインを取り扱っております。
当院では、院長がインビザライン矯正の第一人者佐元博先生の元、米国アライン社認定のインビザラインドクターとして活躍し、また副院長もインビザラインドクターとして、さまざまな症例に対して精度の高い治療を行っています。



インビザライン・アライナーは透明に近く目立たないため、装着していることがほとんど分からず、見た目によるストレスを感じさせません。

食事や歯みがきの時はアライナーを取り外すことができるため、普段どおりに歯のお手入れができ、口腔衛生を健康な状態に保つことができます。

ワイヤーやブラケットを使用しないため、口の中の違和感や痛みが少なく、矯正装置が外れてしまうなどのトラブルの可能性も少なくなります。

通常の矯正治療では、月1回程度の通院が必要ですが、インビザラインシステムでは2~3ヶ月に1回の通院ですみ、お忙しい方でも負担なく矯正治療ができます。

通常インビザラインなどの矯正においても、最初は患者さまの歯型を採取するためにトレーをお口の中にいれて、シリコン印象剤を注入して、固まるまでしばらく待っていなければなりませんでした。
そのためお子様や嘔吐反射のきつい方は、特に負担が大きいものになっておりました。
このiTeroElementは、お口の中に光学の3Dスキャナーを入れるだけで歯型を採取できるので、患者さまも快適に矯正治療を始めることができるようになります。


通常のシリコン印象剤で歯型を採取する場合は、通常10~15分かかっておりましたが、iTeroElementを使うと4-5分で歯型をデータ化することが可能です。
また、歯型データを即座にインビザライン社に送る事ができるので、矯正治療を開始できるタイミングも早くなります。

iTeroElementの3D光学スキャナをお口の中に入れて、お口の中を素早くスキャン(1秒間に6000回)いたします。
シリコン剤をお口の中に入れて固まるまで待つことなく、嘔吐反射のある方でも快適に歯型を採取することが可能です。

通常の印象剤で歯型を採取した場合は、印象の変形や採り残しなどにより再度歯型を採取させて頂く場合もあります。
iTeroElementでは、スキャンしたデータを合成して、自身の歯型をすぐに再現することができ、正確に歯型を採取することができます。


| 精密検査 | 30,000円 | ||||||||
|---|---|---|---|---|---|---|---|---|---|
| 矯正治療費(軽度なケース) | 600,000円 | ||||||||
| 矯正治療費(歯を抜かない場合) | 800,000円 | ||||||||
| 矯正治療費(歯を抜く場合) | 900,000円 | ||||||||
| 保定装置(リテーナー) | |||||||||
|
|||||||||
※全顎(上下とも)の治療になります。
※料金は税別価格です。

| 検査料金 (口腔内診査、診断用模型、X線撮影、診断料) |
30,000円 | ||||||
|---|---|---|---|---|---|---|---|
| Ⅰ期治療(咬合育成) |
300,000円 | ||||||
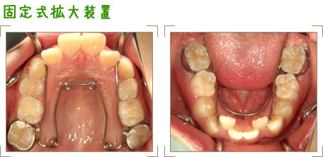
拡大(可撤式・非可撤式)装置を用いて歯のスペースを作ります。
|
|||||||
| インビザラインファースト |
350,000円 | ||||||
|
|||||||
| Ⅱ期治療 | 400,000円 | ||||
|---|---|---|---|---|---|
Ⅰ期治療終了後ワイヤー等を用いて歯並びを整えます。
|
|||||
|
|||||
※全顎(上下とも)の治療になります。
※料金は税別価格です。



インビザライン・ファーストを使用した1期治療は、成長過程にある患者様特有のニーズに応えるため、ポジティブな治療体験を提供し、予測実現性が高い治療結果が得られるようデザインされています。
歯並びを整えながら顎の発育をサポートし、これから生えてくる永久歯のために必要なスペースを作ります。

成長過程にある患者様は、口腔内の状況も大きく変化します。例えば6歳~10歳前後の患者様の歯が乳歯であっても、歯列矯正を開始するのに適したタイミングといえます。これを一般的に「1期治療」といいます。
この段階でドクターは、今後発展しうる問題を確認し、早期治療の必要性を判断することができます。
1期治療と2期治療の間で永久歯が生え揃うまでの期間や、2期治療が完了し整えた歯並びを安定させる期間については、一般的に保定装置の使用をお勧めしていますが、個別のケースにより異なりますので、ご相談ください。

1期治療の目的は、顎の発育をサポートすることで、これから生えてくる永久歯のためのスペースを作り、同時に歯並びを整えることです。
・歯並びを整えることで、成長過程にある患者様の笑顔を改善します。
・2期治療がより短期に、より簡単になります。
・咬み合わせの問題が悪化することを防ぎます。
・指しゃぶりや舌の突出癖などの習慣の改善をサポートします。
・緊急対応が少ないため、予定外の通院を軽減できる可能性があります。
通常、1期治療は従来の固定式矯正装置によって行われますが、インビザライン・システムの技術革新により、治療方法の選択肢が増えました。


まだ永久歯が完全に生えそろっていない、10代の歯科矯正でもインビザライン矯正「インビザライン・ティーンズ」を使ったマウスピース矯正が可能です。
「インビザライン・ティーンズ」でも、インビザラインと同じ透明なマウスピース矯正で、取り外しが出来るため歯磨きがしやすく、虫歯になりにくくなります。また矯正装置が気になる思春期の時でも、目立たずに治療が出来るので、見た目を気にせずに生活する事ができます。


当院では、お子様の歯が生え変わる時期に、正常なあごの骨の成長や正しいかみ合わせを促す取り外し式の矯正装置(トレーナー)を使用して矯正治療を行っています。
近年、多くの子供たちが歯並びやあごの発達の問題を持っています。
最近の研究報告によると口呼吸、舌の突出し、間違った飲み込み癖、指しゃぶりなどが大きな影響を与えることがわかっています。
お子様が将来きれいな歯並びとかみ合わせを手に入れて頂くために、お子様・親御様とともにコミュニケーションを図りながら、治療を進めてまいります。
マウスピースのトレーナーで、この装置を使って口腔筋のトレーニングをします。T4Kを使用することにより、舌の位置、口呼吸、舌の突出しなどを治し、正しい顔とあごの発達を促します。
マウスピースのトレーナーで、寝ているときに使用することにより、不正咬合(間違ったかみ合わせ)を治すことができます。主に反対咬合(受け口)の治療で使用します。

通常のワイヤー矯正においても透明のブラケットを使ったり、ワイヤーを白くしたりして、あまり目だない方法で矯正治療することも可能です。
人目が気になり、矯正はちょっと、、、という方でもお気軽にご相談ください。
